
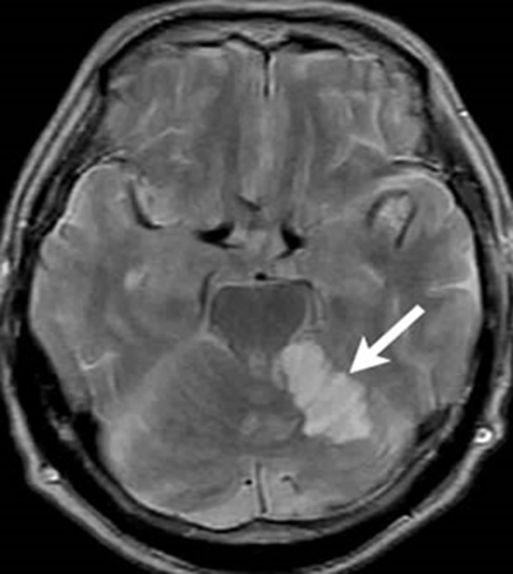
外来に70歳台の女性が家族に連れられてやってきた。9月初めから「ふらつき」「まっすぐに歩けない」「めまい」の症状が出たという。いまはめまいはなくなったが、ふらつきはあるという。しっかりお話もできてマヒなどの神経症状はない。家族は「症状がでてからすぐに外来にきて頭のCTを撮影したが、なんともないと言われた」という。今日は「その後に撮影したMRIの結果を聞きにきた」という。MRIの拡散強調画像をみると立派な小脳梗塞だ。
CTは初期の梗塞を見つけるのは苦手だ。出血だとすぐに黒っぽい影がでるので、分かるけれど、梗塞は分からない。一方、梗塞では少し時間をおいてMRIを撮影すると白くはっきりした画像が現れる。
CTは短時間で撮影できるのでまず出血かどうかを確かめるのには向いている。そのためまずCTを撮る。MRIは細かな問診をして撮影にも時間がかかる。けれど梗塞には向いているので、両者を使い分けている。
家族にはCTとMRIの2段構えの撮影が必要なことを説明した。出血にはCT、梗塞にはMRIだ。
